Search Dental Tribune

Optimizing aesthetic outcomes with Haji’s matrix technique

Clinical application of the Haji matrix technique
Dr. Mohammed Haji, Iraq

Dr. Mohammed Haji, Iraq

Mon. 16. December 2024

save

Advances in adhesive dentistry and composite resin technology have led to a paradigm shift, where composite resins have revolutionized the cosmetic ap proach to anterior restorations. Minimally Invasive Cosmetic Dentistry (MiCD) was introduced in 2009 as a holistic, patient-cen tric treatment approach that integrates minimally invasive techniques with aesthetic dentistry to enhance smiles while considering the psychology, health, function, and aesthetics of the patient. As a firm believer in and clinical trainer of MiCD, I have adopted this treatment philosophy in my clinical prac tice and developed the “Haji matrix technique” to increase the efficiency and predictability of composite restorations in the anterior aesthetic zone.

Anterior matrix systems are in dispensable, particularly for direct composite restorations, as they assist in creating proper anatomic contours and proximal contacts without causing gingival overhangs. They not only facilitate the restoration of tooth anatomy and interproximal contacts but also enhance the overall quality and longevity of the restoration. By addressing the common challenges associ ated with composite handling and placement, matrices play a vital role in achieving aesthetic and functional restorations with successful clinical outcomes and patient satisfaction.

Mentioned below are some key reasons highlighting its importance:

Aesthetic precision

• Shape and contour: the matrix helps in shaping the composite material to mimic the natural anatomy of anterior teeth, ensuring an ideal contour.
• Shade control: a matrix allows for layering tech niques that help achieve the correct shade and translucency, enhancing the lifelike appearance of the restoration.

Curing efficiency

• Light penetration: Clear matrices, permit adequate light penetration, ensuring proper curing of the composite material specially in the interproximal area, which is critical for long term durability and strength of the restoration.

Time efficiency

• Quick application: Matrices simplify the application process, helping to reduce chair time and streamline workflows. Specially with class IV and diastema closure.
• Reduced adjustments: A well-fitting matrix can minimize the need for extensive adjustments post-restoration.

Moisture control

• Isolation from contaminants: An anterior matrix helps isolate the working area from saliva and blood, which is essential for achieving a strong bond between the composite and tooth structure.

Protection of surrounding tissues

• Soft tissue safety: The matrix serves as a barrier to protect gingival tissues during the restoration process, minimizing the risk of irritation or damage.

Enhanced bonding

• Adaptation to tooth structure: A properly designed matrix helps achieve better adaptation of the composite to the tooth, improving the overall bond strength and longevity of the restoration.

Patient satisfaction

• Improved aesthetics & comfort: A well-executed restoration using a matrix can significantly enhance a patient’s smile, leading to higher satisfaction and confidence.

The Haji matrix has been designed specifically to help clinicians optimise on the use of the clear transparent matrix when creating a palatal shell. This technique stabilizes the clear matrix with a liquid dam using an injectable composite materi al. It is easy to use, cost effective and facilitates efficient free hand composite build-up for anterior restorations. (Fig 1a,1b ,1c ,1d)

Fig. 1a: Celluloid Matrix stabilized with a liquid dam using Injectable composite.

Fig. 1a: Celluloid Matrix stabilized with a liquid dam using Injectable composite.

Fig. 1b: Place the clear  matrix in the mouth and support with the index finger.

Fig. 1b: Place the clear matrix in the mouth and support with the index finger.

Fig. 1c: Create the Free Hand palatal shell with  translucent shade of Injectable composite.

Fig. 1c: Create the Free Hand palatal shell with translucent shade of Injectable composite.

Fig. 1d: Palatal shell created based on the predetermined shape  and size of the tooth.

Fig. 1d: Palatal shell created based on the predetermined shape and size of the tooth.

The patient case shared below highlights the clinical application of the Haji matrix technique where a patient’s smile was successfully modified using the Shofu range of bioactive composites with predictable aesthetic and functional clinical outcomes while maximizing patient satisfaction.

A 24 year old female patient visited the clinic complained of multiple spacing between her teeth and requested to improve her smile. After intra oral examination and discussion the patient agreed to proceed with a minimally invasive cosmetic approach. Considering the patient’s age direct composite veneers was selected as the treatment of choice as it preserves sound tooth structure with minimal tooth reduction to achieve optimal aesthetics.

Fig. 2a: Patient smile before treatment.

Fig. 2a: Patient smile before treatment.

Fig. 2b: Patient smile after  smile modification.

Fig. 2b: Patient smile after smile modification.

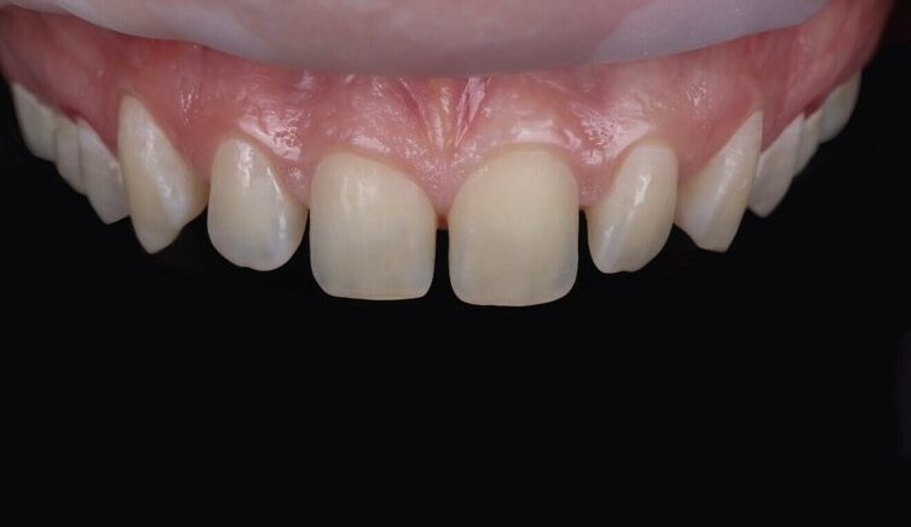
Fig. 2c: Intra-oral view of anterior teeth with the  multiple diastemas.

Fig. 2c: Intra-oral view of anterior teeth with the multiple diastemas.

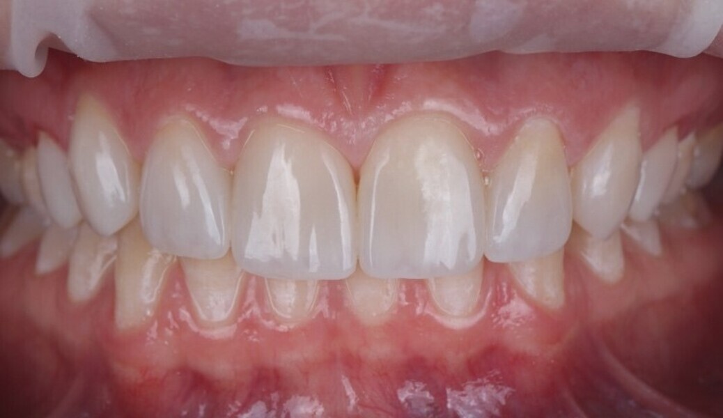
Fig. 2d: Intra-oral view of anterior teeth after  direct veneer restoration.

Fig. 2d: Intra-oral view of anterior teeth after direct veneer restoration.

Material Selection

Clinicians are spoilt for choices today with a wide variety composite resin materials available for aesthetic restorations. As a clinician it’s important to select the composite material that best suits your needs and help to achieve the desired aesthetic and functional outcomes with predictability and long term success. The Shofu range of bioactive composites provide a simple shade selection and ideal handling properties with additional benefits that help minimize plaque accumulation, provide fluoride release and recharge to reduce secondary caries. For this patient’s case we selected Beautifil IILS shade A1 for the dentin layer and Beautifil II Enamel shade HVT (high value translucency ) for the enamel layer.

For the translucent layer, palatal shell a translucent injectable composite such as Beautifil Injectable XSL shade INC is ideal.

Restorative approach

The direct restorative approach for smile modification is a versatile and effective method for enhancing aesthetics and function in a minimally invasive manner. Smile design was completed with mock-ups to ensure patient’s needs were met with realistic outcomes of the smile modification.

The MiCD biological composite layering technique used to mimic the anatomy and natural architecture of the tooth with the Haji Matrix Technique to create the palatal shell for optimal translucency and efficient free hand layering of the composite restorations.

Conclusion

Direct veneers represent a highly effective and minimally invasive approach to smile modification by combining artistry with advanced material technology, to create beautiful, functional smiles that significantly enhance patients’ quality of life. By using composite resin materials with an easy to use Haji matrix technique for the palatal shell helps clinicians save time and provide predictable aesthetic outcomes for their patients. A properly adapted anterior matrix acts as an indispensable tool for clinicians to achieve significant improvements in tooth shape, color, and overall appearance in a very cost effective manner with out the need for extensive tooth preparation or multiple visits.

Topics:
To post a reply please login or register
advertisement
advertisement