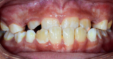
Dental health is one aspect of life that significantly influences the quality of life. Children with cancer who have undergone hematopoietic stem cell transplantation, a cancer treatment that includes transferring healthy hematopoietic stem cells, experience abnormal dental growth.
A research team at Seoul St. Mary's Hospital led by professors Chung Nack-Gyun of Pediatrics and Kim Yoon-ji of the Department of Orthodontics found that anticancer therapies like chemotherapy or radiation at a young age can harm dental health.
“We were able to undertake the study because Seoul St. Mary's Hospital has a great deal of expertise in treating dental patients who have received chemotherapy and many hematopoietic stem cell transplant cases,” according to Professor Kim.
The study was conducted on four age groups; less than 2.5 years old, 2.6–5.0 years old, 5.1–7.5 years old, and 7.5–10 years old. These groups were formed from 153 patients who visited the Department of Pediatrics at Seoul St. Mary's Hospital when they were 10 years old or less.
After receiving hematopoietic stem cell transplants, all of them had their dental panoramic X-rays taken. Each group had patients with tooth loss, dwarf teeth, and root dysplasia. After conducting the study, the team was able to confirm that patients who took chemotherapy when tooth growth was taking place at a younger age had more severe dental dysplasia.
Kim highlighted that routine dental check-ups are necessary both before and after chemotherapy to enhance one's quality of life. This is mainly because it enables patients to eat properly and absorb nutrients consistently, as such oral health is seen as crucial for recovery.
Many strategies are currently being looked for to improve a child's life following therapy as the survival rate of children's cancer rises.
Professor Chung added, “As a result of analyzing the gathered data over an extended period, this report indicates the correlation with abnormal tooth development, suggesting that in the case of hematopoietic stem cell transplantation at an early age in the future, efforts must be made to reduce the effects on tooth development before and after transplantation treatment.”
Tags:
HONG KONG: According to the Global Burden of Disease study, early childhood caries affects approximately 530 million children around the world, making it ...
BEIJING, China: The Chinese government introduced a volume-based procurement (VBP) policy in November 2018 in the pharmaceutical industry, and this was ...
Combining her expertise in both oral and maxillofacial surgery with sleep medicine, Dr Mei Hui Tan’s presentation at IDEM 2024 offered clinicians the ...
Anterior crossbite in children can cause serious dental issues, making early treatment crucial. This case report highlights the successful correction of an ...
Orthognathic surgery has evolved significantly over the past few decades, with advancements in digital technology and innovative treatment protocols ...
TOKYO, Japan: Leading dental manufacturer GC Corp. has invited global dental professionals to save the date for its sixth International Dental Symposium, ...
SINGAPORE: IDEM Singapore is welcoming dental professionals from across the region and beyond to its 14th edition, held under the theme “Innovating smart...
Oratomic4D is a technology company based in Sydney in Australia specialising in 3D-printing technology and developing and manufacturing biomimetic dental ...
Evaluating how implant depth, crown design, angulation, and patient factors influence implant outcomes in a 5-year follow-up study at SEGi University.
...
Live webinar
Tue. 5 May 2026
10:00 am EST (New York)
Live webinar
Tue. 5 May 2026
12:00 pm EST (New York)
Live webinar
Tue. 5 May 2026
1:00 pm EST (New York)
Dr. Maximilian Dobbertin M.Sc
Live webinar
Tue. 5 May 2026
3:00 pm EST (New York)
Live webinar
Wed. 6 May 2026
1:00 pm EST (New York)
Live webinar
Wed. 6 May 2026
8:00 pm EST (New York)
Ms. Ellen Karlin, Dr. Sara Karlin
Live webinar
Thu. 7 May 2026
11:00 am EST (New York)
To post a reply please login or register