Search Dental Tribune

Fig. 1: The increasing adoption of 3D printing in the field of dentistry helps advance design and manufacturing of dental models. (All images: Rakesh Jivan)

Mon. 18. December 2023

save

Oratomic4D is a technology company based in Sydney in Australia specialising in 3D-printing technology and developing and manufacturing biomimetic dental simulation products. These ultra-realistic systems provide dental students and professionals true-to-life simulation experiences that are patient-specific for improved clinical and educational outcomes.

 

The company leverages the capabilities of Asiga’s MAX UV and PRO 4K printers for rapid prototyping to replicate highly detailed human anatomy, including bone, jaws, teeth, periodontal ligaments, pulp chambers and root canals. This development has created an unprecedented level of educational opportunities in areas such as oral surgery, endodontics, and restorative and implant dentistry. The company has begun to influence and revolutionise the way training is delivered through the creation of biomimetic patient-specific models derived from real patient data.

Background

Over the past decade, 3D-printing technology has made significant strides in improving clinical workflows and outcomes for dentists and patients in dental offices worldwide. By contrast, the use of 3D-printing technology in dental education and simulation training has been extremely limited. The vast majority of training programmes globally still rely heavily on traditional and expensive injection-moulded typodont models that have undergone little change since their inception and introduction to dentistry over a century ago.

As their name suggests, typodont models feature maxillary and mandibular arches of perfect teeth with an idealised occlusion typically manufactured from acrylic or thermosetting plastics which are more difficult to cut than natural teeth. They generally lack the fine intricacies and complexity of natural human anatomy, limiting their potential to accurately simulate real-life presentations in dental practice (Fig. 1).

A new type of virtual reality—replicating life itself

In early 2019, Oratomic4D saw a clear need in the field of dental education and training to develop a new class of patient-specific, biomimetic simulation models that would overcome the limitations of typodont models and improve the experience and learning outcomes for students and dental practitioners carrying out simulation training. Oratomic4D recognised very early in the process the physical and technological challenges it would face in accurately replicating complex human anatomy, and that a new innovative approach would be required.

With its in-house research and development team based at its headquarters they developed novel, patent pending design and manufacturing processes that leveraged the capabilities of Asiga’s MAX UV and PRO 4K printers for rapid prototyping. These new processes ultimately resulted in the successful replication of detailed human anatomy, which included Class D1 and D2 bone, and anatomical jaws, teeth, periodontal ligaments, pulp chambers and root canals.

The development of the true-to-life range of simulation models has created an unprecedented level of educational opportunities in areas such as oral surgery, endodontics, and restorative and implant dentistry. For educators and learners, the addition of the patient-matched CBCT and clinical images to the models from which they were developed offers a brand-new learning experience that accurately simulates diagnostic and treatment processes carried out in the clinical setting. Oratomic4D’s capability of recreating patient-specific models from real patient data has already begun to influence and revolutionise the way students and dental professionals interact, learn and train with models.

Fig. 2

Fig. 2

Fig. 3

Fig. 3

Fig. 4

Fig. 4

Fig. 5

Fig. 5

Fig. 6

Fig. 6

Fig. 7

Fig. 7

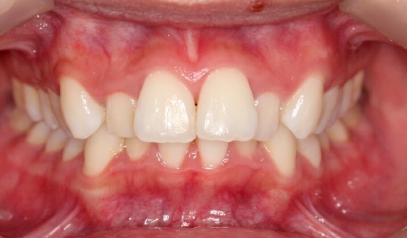
Replicating Tina

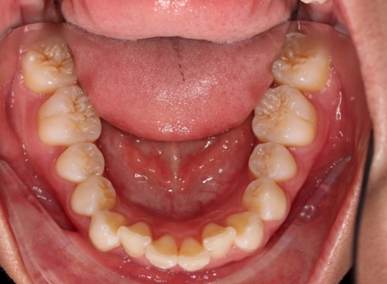
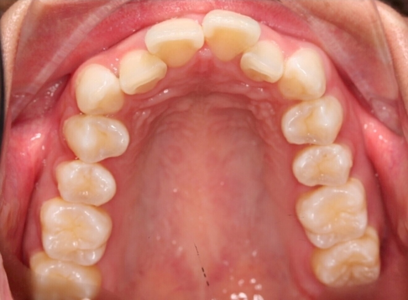
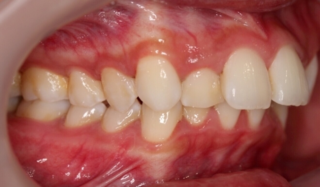
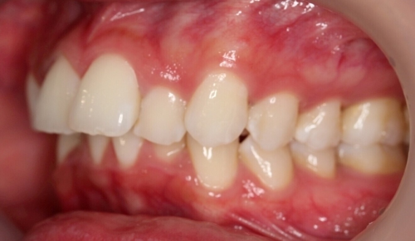
The starting point for Oratomic4D was selecting a real patient to replicate. After an extensive search, the patient, Tina, was chosen for her ideal oral anatomy and range of treatments that could be simulated. Unlike a typodont model, Tina had mild crowding, impacted maxillary and mandibular third molars, and complex root canal anatomy (Figs. 2–7).

These irregularities in Tina’s oral anatomy made her an ideal candidate for the creation of a range of realistic simulation models that are highly representative of the types of patients encountered in dental practice.

Combining Tina’s intra-oral scans and CBCT data along with Oratomic4D’s internal design and manufacturing processes, the company was able to accurately replicate her jaws, bone structure, ligaments, teeth and root canals on a 1:1 scale using Asiga printers.

Our anatomic models are extremely complex, requiring very low micron accuracy. When it came to 3D printing, we exclusively used the Asiga MAX UV and PRO 4K printers and resins, which enabled us to carry out rapid prototyping to the level of accuracy we needed to replicate Tina’s anatomy. There was simply nothing in dentistry that we found that came close to the Asiga for delivering the precision and detail that our true-to-life models required (Figs. 8–10).

Fig. 8

Fig. 8

Fig. 9

Fig. 9

Fig. 10

Fig. 10

Oratomic4D’s use of the MAX UV and PRO 4K printers along with Asiga’s resin materials allowed the company to produce simulation models that are incredibly smooth to the touch and highly realistic in appearance and that have a required cutting force that is similar to that of dentine. The production quality and consistency of the Asiga printers enabled Oratomic4D to create a range of simulation models based on Tina’s dentition which deliver accurate, lifelike tactile feedback for dentists training in procedures such as extraction, root canal therapy, implant placement and tooth restoration. Oratomic4D’s quality assurance programme ensures that each of its simulation models are verified and evaluated by at least three independent specialists in their field.

The company’s journey into replicating life with Asiga’s printing technology has only just scratched the surface of possibility as it continues to push the boundaries and set new standards in simulation training. With the ability to recreate any living patient, it can deliver unparalleled immersive learning, opening new avenues patient-specific training and education.

Oratomic4D’s range of true-to-life simulation models

Oratomic4D’s simulation models provide an unparalleled learning experience for dental students and professionals. To date, the company has developed several models, including an exodontia and oral surgery model, which features 28 fully extractable teeth, harnessing the precision of the Asiga printers to print periodontal ligaments along with four impacted third molars requiring bone removal and tooth sectioning. These models deliver highly realistic and tactile feedback to the operator, requiring the same approach, instruments and force needed for extractions in real patients.

In a revolution for endodontic training, Oratomic4D’s endodontic models feature 28 full-sized anatomical teeth with root canal anatomy accurately replicated from Tina’s CBCT images. They thus eliminate the need for extracted human teeth while enabling a standardised approach to endodontic training (Figs. 11 & 12).

Oratomic4D’s implant models feature partially and fully dentate arches with Class D2 bone and healed ridges to simulate implant placement, extractable teeth for immediate implant placement and bone grafting training. The ability to replicate any living patient creates an opportunity for educators to take a show–tell–do approach to implant training. Coupled with the model’s soft-tissue silicone gingivae, a full range of surgical and implant training can be delivered (Figs. 13–15).

Oratomic4D’s in-house research and development coupled with Asiga’s technology has already begun to deliver a positive impact in dental education. Oratomic4D’s models are already in use by universities and other educational institutions, and the company continues to develop and add new models to its range. Patient-specific models are a valuable tool for dental professionals to hone their skills and for dental educators to innovate and create new educational programmes based around customised models.

Fig. 11

Fig. 11

Fig. 12

Fig. 12

Fig. 13

Fig. 13

Fig. 14

Fig. 14

Fig. 15

Fig. 15

Fig 16

Fig 16

Fig.17

Fig.17

Elimination of biohazards

Central to the use of Asiga’s 3D-printing technology and resins in the manufacture of dental simulation models is the elimination of biohazards in the form of extracted human teeth and the use of pig jaws and other animal-derived products. This has traditionally been an issue for course venues and providers, particularly where cultural sensitivity is paramount.

Reducing the cost of simulation models

Oratomic4D has taken a unique approach to dental simulation by moving away from the traditional, expensive and bulky metal and plastic manikins used to house typodont teeth. Harnessing the larger print bed and strength of the resins available for use with the Asiga printers, the company has developed the Tina4D head, which includes soft tissue and a replication of Tina’s face from the CBCT data (Figs. 16 & 17).

The Tina4D head, with an integrated benchtop clamp and water drainage system, eliminates the need for a traditional manikin while also reducing the size and weight to under 1 kg. This makes it easy to transport and set up, enabling education providers and individual dental practitioners to undertake training in any location worldwide, from conference rooms to dedicated simulation clinics. The head allows replaceable maxillary and mandibular arches to be fitted to simulate a range of treatment types at a significantly lower cost compared with traditional typodonts and manikins. This innovative approach to dental simulation offers a cost effective and practical solution for long-term dental education and training.

Summary

As the use of technology and 3D printing becomes commonplace in dentistry, harnessing the capabilities of Asiga’s line of printers and resins along with breakthroughs in design and manufacturing, the process developed in-house by Oratomic4D marks a new era in biomimetic patient-matched simulation models. The educational outcomes and benefits of these new models to current and future generations of students and dental practitioners undertaking training is unmatched by traditional typodonts.

Editorial note:

This article was published in 3D printing—international magazine of dental printing technology vol. 3, issue 1/2023.

Tags:
To post a reply please login or register
advertisement
advertisement