Complete edentulism is an irreversible condition that is a known marker of disease burden for oral health.1 Edentulism significantly influences both oral and overall health, as well as quality of life.2 Full-arch implant-supported rehabilitation has emerged as a reliable and predictable treatment option for edentulism cases.3New developments such as virtual planning technologies offer an optimal approach for implant placement, aligning with the accurate prosthetic position and minimising both intra-operative trauma and procedure duration.4
Fig. 2
The following case report demonstrates the successful management of a 70-year-old patient experiencing masticatory difficulties. Through a maxillary full-arch implant-supported rehabilitation with six Straumann Bone Level Tapered (BLT) implants facilitated with a digital workflow, we improved her quality of life and fulfilled her expectations.
Initial situation
The healthy female patient with no medication, allergies or smoking habit came to our clinic seeking a resolution for her problems with chewing. Additionally, she reported a history of persistent dental and oral malodour. The patient expressed a desire to regain her ability to eat like before and recover her quality of life and confidence.
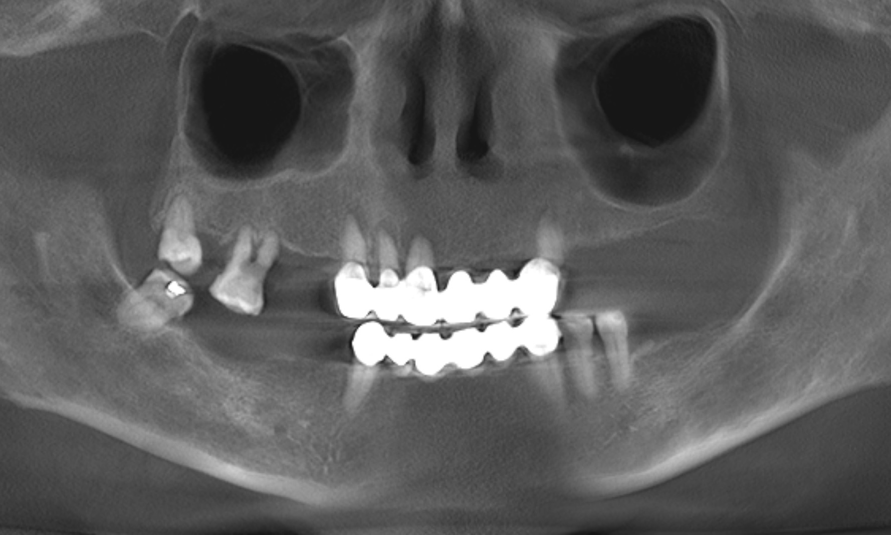
The extra-oral examination showed a low smile line, and the intra-oral examination found a removable bridge from tooth #13 to tooth #23 that was poorly adapted and showed signs of deterioration. The maxillary teeth, with the exception of tooth #18, were mobile. Generalised gingival inflammation, bleeding on probing and dental caries were also present (Fig. 1). The radiographic examination exposed severe bone loss in the posterior of the maxillary left quadrant, as well as caries and apical lesions on maxillary teeth (Fig. 2).
After conducting both radiographic and clinical assessments, the patient was categorised as having a complex condition according to both the surgical and prosthodontic SAC classifications. This classification system, developed by the International Team for Implantology, assists in evaluating the level of challenge and potential complications linked to implant-related restoration (Fig. 3).
Fig. 3
Treatment planning
After an extensive conversation with the patient about the various treatment alternatives, a joint decision was reached that the chosen approach would involve a digital workflow, immediate implant placement and maxillary full-arch implant-supported restoration.
The treatment workflow involved:
digital implant placement planning using coDiagnostiX (Dental Wings);
design and printing of the bone reduction guide, surgical guide and resin models;
extraction of the hopeless teeth in the maxilla;
fixation of the surgical guide and immediate implant placement of six Straumann BLT implants in the maxilla;
filling of the gaps with Straumann XenoGraft;
delivery of the temporary screw-retained prosthesis;
delivery of the final screw-retained prosthesis 12 weeks after surgery; and
periodontal supportive therapy every three to four months.
Using coDiagnostiX for digital planning of the implant placement proved to be of paramount significance in safeguarding the adjacent anatomical structures and achieving consistent and reliable outcomes. Additionally, this software facilitated the creation of a highly precise surgical guide tailored to our patient’s needs. Upon finalising the design, the next step involved producing the surgical guide through 3D printing and crafting resin models.
Surgical procedure
Prior to the surgical procedure, a careful assessment was conducted to ensure the precise fitting of the surgical guide. Subsequently, local anaesthesia using 2% lidocaine with 1:100,000 adrenaline was administered. An open flap access was performed with mid-crestal and intrasulcular incisions (Fig. 4). Next, the bone reduction guide was placed, and the holes for the anchor pins were drilled and the pins securely inserted (Fig. 5).
The bridge was removed, the teeth were atraumatically extracted and the extraction sockets were meticulous curetted. After the dental extractions, a reduction of the vertical ridge was carried out (Fig. 6). Subsequently, the surgical guide was positioned to initiate the drilling procedure for the immediate implant placement (Fig. 7).
Fig. 4
Fig. 5
Fig. 6
Fig. 7
Fig. 8
Fig. 9
Fig. 10
Fig. 11
Six Straumann BLT implants made from the material Roxolid and with the SLActive surface (implant #16: 4.8 × 10.0 mm; implant #14: 4.1 × 14.0 mm; implant #12: 3.3 × 14.0 mm; implant #21: 4.1 × 12.0 mm; implant #23: 3.3 × 12.0 mm; implant #26: 4.1 × 14.0 mm) were placed (Fig. 8). The gaps were filled with Straumann XenoGraft, and six temporary titanium copings for screw-retained abutments were subsequently placed (Fig. 9).
Maxillary full-arch impressions were taken, employing appropriate impression copings for an open-tray approach using a polyether impression material (Impregum, 3M ESPE). After a few hours, a dental dam was placed around the temporary copings to protect the fresh surgical sites. The previously prepared temporary prosthesis produced from a resin-based provisional material was then affixed in place (Figs. 10–12).
The patient was prescribed painkillers and antibiotics and given instructions for postoperative oral care, which included rinsing the oral cavity twice a day for a week with a 0.2% chlorhexidine gluconate mouthwash and cleaning the temporary prosthesis with a very soft toothbrush. The sutures were removed 12 days after the surgical procedure.
Fig. 12
Fig. 13
Fig. 14
Fig. 15
Prosthetic procedure
After 12 weeks, the delivery of the final screw-retained prosthesis was performed. During this time, the implant sites healed successfully, and osseointegration was accomplished.
An open-tray impression was taken, leading to the acquisition of the final cast models. These models were then utilised to create the final prosthesis. A comprehensive assessment was conducted of the prosthesis to ensure a precise and passive fit during the clinical evaluation. Furthermore, functionality, phonetics, occlusion and aesthetics were meticulously verified (Fig. 13). The screw access holes were filled using Filtek Supreme resin (3M ESPE). Oral hygiene instructions were given, and periodontal supportive therapy was scheduled for every three to four months.
After two years, clinical and radiographic control of the rehabilitation was carried out (Figs. 14 & 15). The soft and hard tissue surrounding the implant exhibited favourable conditions. Furthermore, the patient had gained a deeper understanding of her oral health and acquired knowledge on how to maintain proper oral care.
Treatment outcomes
The patient expressed great satisfaction with the outcomes achieved. She could now enjoy eating without any concerns. Similarly positive outcomes were achieved across the functional, biological and aesthetic aspects.
Conclusion
Immediate implant placement after tooth extraction has become a common surgical approach in clinical practice. The outcome of this procedure is as predictable as implant placement in healed sites. In patients with compromised periodontal health and hopeless teeth, this is an excellent alternative for rehabilitation, as long as adequate access for peri-implant hygiene is ensured.
In recent years, dental implants have emerged as a pivotal advancement in dentistry, offering a popular solution for replacing natural teeth lost owing to ...
HAIPHONG, Vietnam: A new case report has demonstrated what a conservative prosthetic pathway can achieve when a patient with a relatively complex anterior ...
Tooth loss carries significant psychosocial consequences. Individuals may experience difficulty eating which profoundly can affect nutrition or speaking, ...
SINGAPORE: From 17 to 19 April, the Marina Bay Sands Expo and Convention Centre in Singapore will host the 14th International Dental Exhibition and Meeting...
We provide full & complete digital dental laboratory solutions for the entire Digital Dentistry & 3D process, from Treatment Planning (TX), Digital ...
Orthognathic surgery has evolved significantly over the past few decades, with advancements in digital technology and innovative treatment protocols ...
Evaluating how implant depth, crown design, angulation, and patient factors influence implant outcomes in a 5-year follow-up study at SEGi University.
...
Maintaining lip volume through collagen stimulation is essential for achieving youthful, plump lips. Using laser technology to stimulate collagen production...
Education
Live webinar Tue. 12 May 2026 1:00 pm EST (New York)
SINGAPORE: This month, the leading dental event in Asia-Pacific has confirmed the regional industry’s strength and resilience in challenging times. The ...
BANGKOK, Thailand: Held on 27 and 28 March in the Thai capital, the Osstem World Meeting 2026 Bangkok highlighted the latest clinical strategies and ...
To post a reply please login or register