Evaluating how implant depth, crown design, angulation, and patient factors influence implant outcomes in a 5-year follow-up study at SEGi University.
Abstract
The success of single-tooth dental implants is determined by a complex interplay of clinical, anatomical, prosthetic, and patient-related factors. This cross-sectional study and data were analyzed using the Chi-square test. Implant depth emerged as the only statistically significant factor (p = 0.020), with equicrestal placement associated with more favorable outcomes. The remaining variables did not show significant correlations with success or survival. These findings reinforce the importance of vertical positioning and suggest avenues for further research.
While dental implants are considered reliable for tooth replacement, success depends on numerous variables. This study explores whether patient demographics and implant/prosthetic design factors affect clinical outcomes. Prior research has debated the role of crown height, implant angulation, or bone density, but few have statistically compared multiple factors simultaneously.
Materials and Methods
An analytical cross-sectional study was conducted at SEGi University, involving 61 healthy patients aged 30–70, rehabilitated with a single implant with a minimum of 5 years of function. Radiographic and clinical data were gathered, and Chi-square tests evaluated associations.
Clinical Exam Criteria:
- Gingival recession: recession recorded if gingival margin was apical to prosthetic crown margin.
Radiographic Parameters:
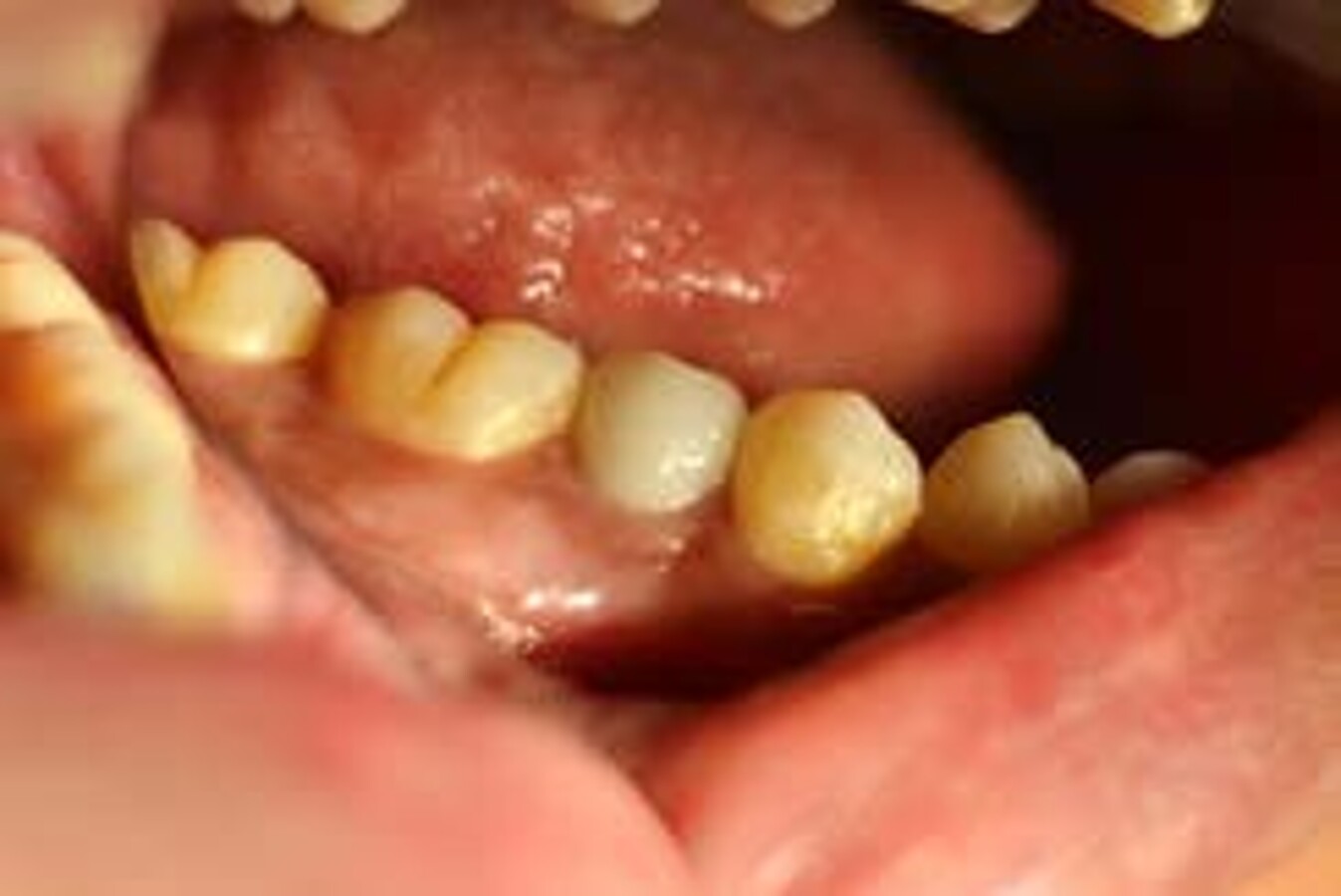
Fig. 1: Occlusal view of implant-supported crown in position 35
Fig. 2: Buccal view showing tissue profile and crown emergence
Fig. 3: Pre-operative IOPA of edentulous site 35
Fig. 4: Immediate post-operative IOPA of implant in site 35
Fig. 5: Five-year post-op IOPA showing stable bone levels
Key radiographic measurements:
- Implant angulation
- Crown design (straight, mesially, distally placed)
- Implant depth (equicrestal or subcrestal)
- Bone resorption levels
- Crown-to-implant ratio
Results
Of the eight variables assessed, implant depth showed a statistically significant relationship with clinical success (p = 0.020). Equicrestal implants had better outcomes. Other factors including age, gender, ethnicity, implant length, crown design, crown-to-implant ratio, and angulation showed no significant influence (p > 0.05).
Discussion
The analysis revealed implant depth as the most influential factor in implant success. Equicrestal placements preserved marginal bone levels better than subcrestal. While variations in other parameters were observed, none reached statistical significance. Limitations include sample size and lack of control for oral hygiene or abutment height.
Conclusion
This study underscores the importance of vertical positioning in implant placement. Other demographic and prosthetic factors, while clinically relevant, did not show statistically significant effects in this cohort. Larger, multicenter trials are recommended. Acknowledgments Special thanks to SEGi University, the Faculty of Dentistry, and all study participants.
Co-authors:
Dr Johnson Lu Yew Wang
Dr Hafni Adiba binti Azman
Dr Gan Wei Shan
Dr Fatmah Binti Ibrahim
Editorial note:
References
[1] Anwar M. (2019). Clinical outcomes in osteoporotic patients. J Med Sci Clin Res.
[2] Chrcanovic et al. (2021). Factors influencing early implant failures. J Dent Res.
[3] Kim et al. (2024). Influence of crown/implant variables. Clin Oral Implants Res.
…
[24] Tajti et al. (2024). Implant depth and abutment height. Periodontology 2000.
SINGAPORE: The skin and teeth share ectodermal tissue origins, and a number of studies have demonstrated an association between atopic dermatitis and ...
Orthognathic surgery has evolved significantly over the past few decades, with advancements in digital technology and innovative treatment protocols ...
SINGAPORE: IDEM Singapore is welcoming dental professionals from across the region and beyond to its 14th edition, held under the theme “Innovating smart...
Dental health is one aspect of life that significantly influences the quality of life. Children with cancer who have undergone hematopoietic stem cell ...
Last month, Dental Tribune International (DTI) covered a new study on how lipid metabolism and maternal weight influence orofacial cleft (OFC) risk in ...
Dentsply Sirona, the world’s largest manufacturer of professional dental products and technologies, has adeptly positioned itself as the leading force in ...
SINGAPORE: Singapore‑based consumer dental startup Zenyum and Indian consumer brand MakeO toothsi are set to merge by the end of the month, creating a ...
Dentist Graduates of Australian and Irish dental schools are in high demand across Canada. Associates on Demand is thrilled to be able to place a large ...
Anterior crossbite in children can cause serious dental issues, making early treatment crucial. This case report highlights the successful correction of an ...
Maxillary midline diastema is often a strong concern for most patients. Aesthetically not pleasing, it also complicates social dining settings as food stuck...
Education
Live webinar Thu. 21 May 2026 12:00 pm EST (New York)
HONG KONG, China: Functionalised tricalcium phosphate (fTCP) was developed to keep calcium and phosphate from reacting prematurely with fluoride in ...
SINGAPORE: This month, the leading dental event in Asia-Pacific has confirmed the regional industry’s strength and resilience in challenging times. The ...
BANGKOK, Thailand: Held on 27 and 28 March in the Thai capital, the Osstem World Meeting 2026 Bangkok highlighted the latest clinical strategies and ...
To post a reply please login or register