Orthognathic surgery has evolved significantly over the past few decades, with advancements in digital technology and innovative treatment protocols improving surgical outcomes. One major advancement is digital planning, enabling precise preoperative simulations and reducing the unpredictability of traditional methods. Another revolutionary shift is the surgery-first (SF) approach, which prioritizes surgical intervention before orthodontic treatment. Coupled with digital planning, this method improves accuracy, shortens treatment time, and enhances patient satisfaction. This article explores the advantages of digital planning and the SF approach in orthognathic surgery, presenting a case study to illustrate their effectiveness.
Traditional vs. digital planning in orthognathic surgery
Traditional model surgery relied on plaster casts and two-dimensional (2D) cephalometric analysis, which had inherent limitations in precision and visualization. Digital planning, using three-dimensional (3D) imaging and computer-aided design/ computer-aided manufacturing (CAD/CAM) technology, has transformed surgical planning, offering a higher degree of predictability. Key advantages of digital planning include:
The surgery-first approach
Concept and rationale
The traditional orthognathic treatment sequence involves a preoperative orthodontic phase to decompensate dentition, followed by surgery and then postoperative orthodontics. However, the SF approach eliminates the need for lengthy pre-surgical orthodontic treatment, immediately addressing skeletal discrepancies.
Advantages of digital planning and surgery first
1. Improved accuracy and predictability
Digital planning allows precise preoperative visualization, reducing intraoperative surprises. 3D-printed surgical guides ensure exact bone segment positioning, leading to reproducible outcomes.
2. Reduced treatment duration By bypassing pre-surgical orthodontics, SF significantly shortens the overall treatment timeline, benefiting both patients and clinicians.
3. Better aesthetic and functional outcomes
Facial asymmetry, occlusal discrepancies, and jaw positioning are addressed more effectively with digital planning and SF, ensuring optimal aesthetic and functional results.
4. Enhanced patient satisfaction
With immediate facial profile enhancement and reduced treatment time, patients report higher satisfaction rates compared to traditional approaches.
Case Presentation
Patient background
A 23-year-old Chinese male presented with skeletal Class III malocclusion, mandibular prognathism, and midface deficiency and facial asymmetry. He sought treatment for functional and aesthetic concerns. He lives in Japan and is back in Malaysia for only a limited time, therefore consideration of healing time and expenses of taking time off from work was a real concern for him.
Digital planning process
1. 3D Imaging: A CBCT scan, intra oral scan as well as a face scan was obtained, and a digital model was created.
Fig. 1a: This picture shows a full CBCT (Vatec, Korea) and superimposition of the intraoral scan (Shining, China) of the teeth and occlusion. It shows a right occlusal crossbite discrepancy as well as a general skeletal asymmetry.
Fig. 1b: A face scan (Ray Scan) was done to analyse the extent of facial asymmetry taking into considerations of the soft tissues in relation to the occlusion and occlusal plane.
2. Virtual Simulation: Orthognathic movements were planned using software to predict postoperative occlusion and facial symmetry.
Fig. 2: A digital simulation is done of the actual surgery via a software that we are still developing.
3. Surgical Guide Fabrication: CAD/CAM-generated splints ensured precise execution of the surgical plan.
Fig. 3: This is a 3D printed models of the jaw and the actual surgical guide to where the cuts should for a clean sagittal split osteotomy. The surgical guide will lead the cuts and avoid critical surgical structures such as the lingual foramen where the inferior alveolar nerve enters the mandible.
Surgery and outcomes
Procedure: It was decided on the basis of the virtual surgical planning that a single jaw, bilateral sagittal split osteotomy (BSSO) mandibular setback was necessary to correct his skeletal problem.
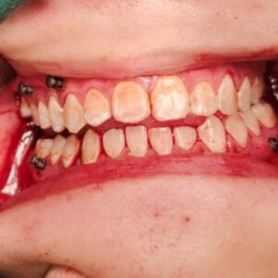
Fig. 4a: Intra – operational picture. A clean cut Left Sagittal Split osteotomy. Temporary Anchorage Device used without arch bars which almost always destroy the pristine gingiva.
Fig 4b: Final occlusion. Note that the occlusion is not ideal, however the midline is almost aligned. That is where simple post-surgical orthodontics aligner therapy can correct the occlusion within a short period of time.
Postoperative Orthodontics: Accelerated tooth movement facilitated occlusal stability utilising Orion Aligners for the final correction of the occlusion. In this case, the use of aligners instead of traditional orthodontic with fix appliance was advantageous as the patient was living overseas and not having the liberty of access to the orthodontist there.
Fig 5: A treatment plan was done to do simple alignment of this patient.
Final Results: Achieved facial harmony, functional occlusion, and high patient satisfaction.
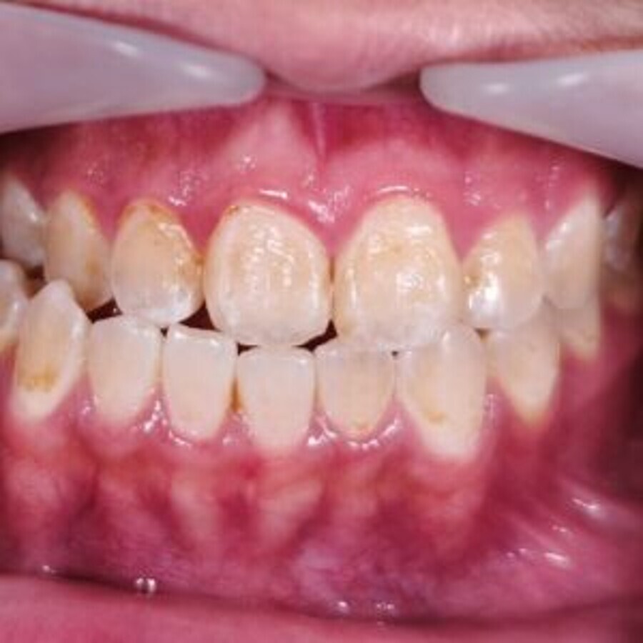
Fig 6a: Patient before the treatment.
Fig 6b: Patient’s occlusion before the surgery.
Fig 6c: Patient 3 months after surgery.
Fig 6d: Three months post op occlusion picture. Symmetry achieved. The TADs were removed 2 weeks later.
Challenges and considerations
• Case Selection: SF is not suitable for all patients; careful case assessment is required.
• Learning Curve: Surgeons and orthodontists must be proficient in digital tools and SF protocols.
• Soft Tissue Considerations: Digital planning should incorporate soft tissue simulation for better aesthetic outcomes.
Future directions
• AI-Driven Planning: Artificial intelligence will enhance automated treatment simulations.
• Robotics in Orthognathic Surgery: Robotic-assisted procedures will improve precision and efficiency.
Conclusion
The integration of digital planning and the “Surgery First” approach in orthognathic surgery offers significant advantages, including improved accuracy, reduced treatment duration, and enhanced patient satisfaction. With continued advancements in technology, these techniques will further refine surgical outcomes and patient experiences.
Dr Firdaus Hanapiah BDS (Otago ) MSc. (Lon) FDSRCS. AM (Malaysia)
Dr Kathiravan Purmal BDS (Malaya) M.Clin. Dent (Malaya) MOMS (USM) Oral & Maxillofacial Surgery Department Avisena Specialist Hospital Shah Alam, Malaysia
Dentsply Sirona, the world’s largest manufacturer of professional dental products and technologies, has adeptly positioned itself as the leading force in ...
GUANGZHOU, China: While live surgery demonstrations have been a popular and effective educational tool across all facets of the medical field for decades, ...
HONG KONG: Mandibular prognathism is a common facial deformity in southern China. Besides causing temporomandibular joint pain, the condition affects ...
The Philippine Institute of Digital Dentistry (PIDD) is set to make history with its first-ever digital dentistry conference, DIGICON 2025: Redefining ...
Evaluating how implant depth, crown design, angulation, and patient factors influence implant outcomes in a 5-year follow-up study at SEGi University.
...
Dental health is one aspect of life that significantly influences the quality of life. Children with cancer who have undergone hematopoietic stem cell ...
Last month, Dental Tribune International (DTI) covered a new study on how lipid metabolism and maternal weight influence orofacial cleft (OFC) risk in ...
LEIPZIG, Germany: The first quarter of 2023 delivered mixed results for the largest dental companies. Consumers around the world continued to rationalise ...
CALAUAN, Philippines: Although international child sponsorship programmes are widely touted as offering critical global aid, particularly for children in ...
In the pursuit of the ideal smile, dentistry has long been guided by mathematical ratios and classical aesthetic principles. From the Golden Proportion to ...
Education
Live webinar Wed. 8 April 2026 1:00 pm EST (New York)
HAIPHONG, Vietnam: A new case report has demonstrated what a conservative prosthetic pathway can achieve when a patient with a relatively complex anterior ...
MANILA, Philippines: Unlicensed dental practice is widespread in the Philippines. Health authorities are set to roll out a national operating licensure ...
SINGAPORE: Singapore‑based consumer dental startup Zenyum and Indian consumer brand MakeO toothsi are set to merge by the end of the month, creating a ...
To post a reply please login or register