Search Dental Tribune

Minding the gap unconditionally: A case study

Minding the gap unconditionally: A case study

Mon. 16. December 2024

save

Maxillary midline diastema is often a strong concern for most patients. Aesthetically not pleasing, it also complicates social dining settings as food stuck is inevitable. Treating the gap effectively requires accurate diagnosis and appropriate intervention.

Case 1

• 64-year-old woman
• No underlying medical condition.
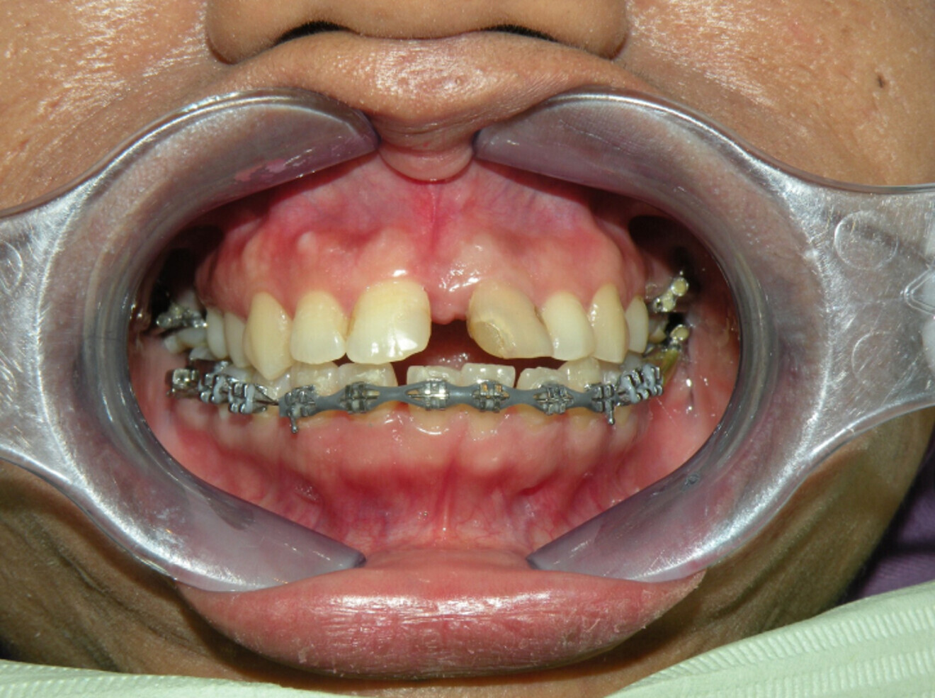
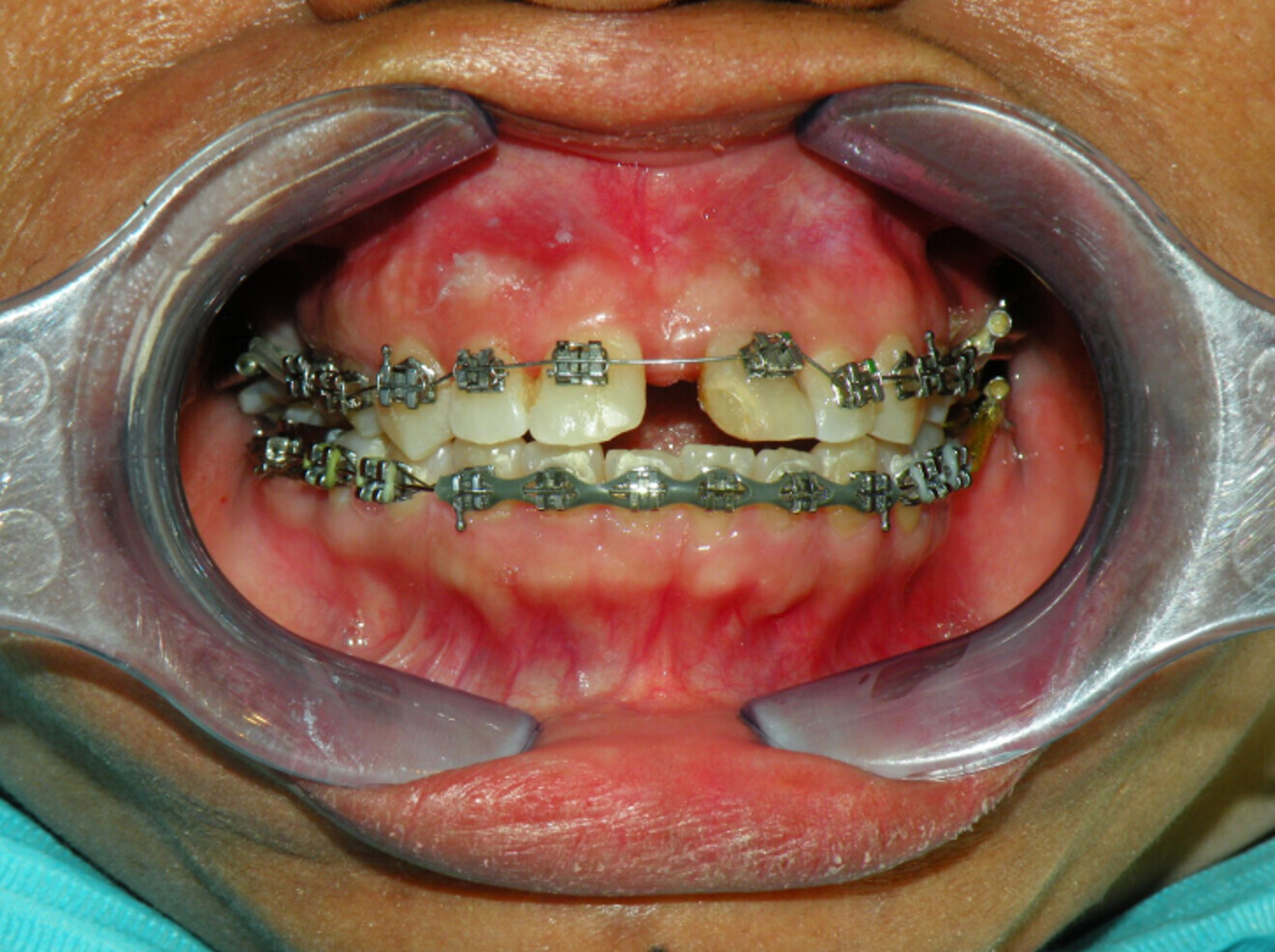
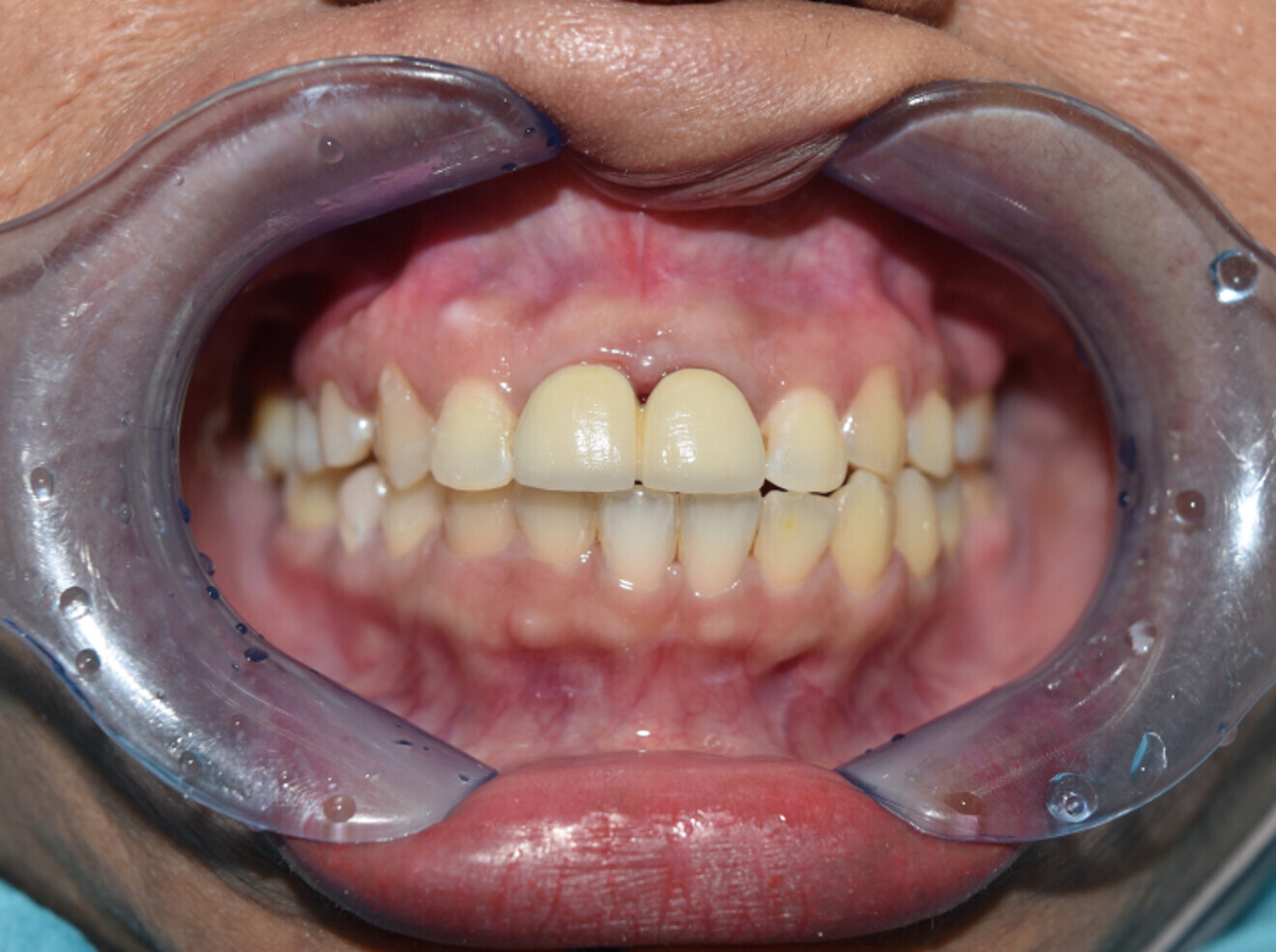
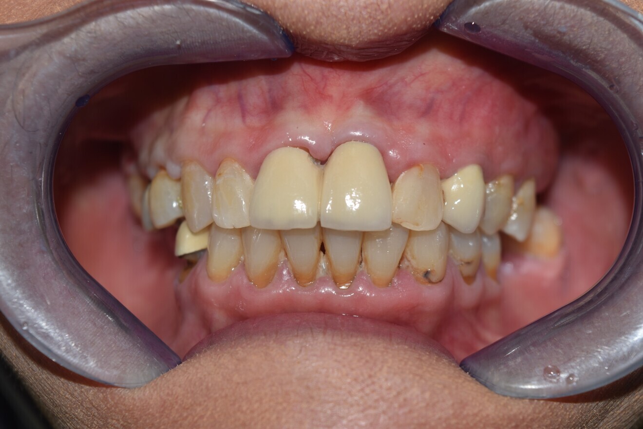
• Main complaint: Mobile upper front teeth. Big gap between upper centrals.

Extra-oral findings:

• Symmetrical face
• Incompetent lips.
• Normal smiling line; up to 1mm above cervical margin upper anterior
• Straight profile. Strong pogonion projection.
• Nasolabial angle: 76

Intra-oral findings:

Class I malocclusion with poli diastemas in the upper anterior region.
Overbite= 2mm, Overjet= 2mm.
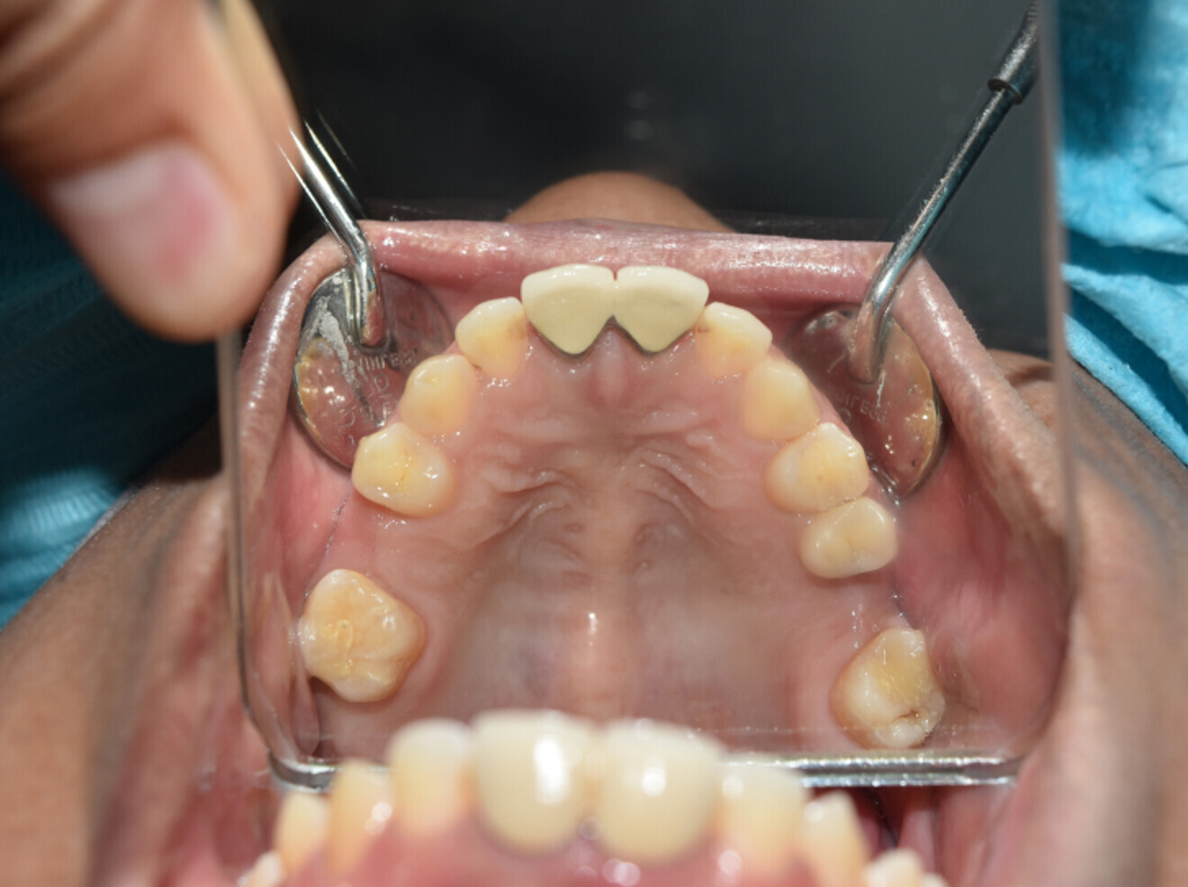
No molar classification (absence of molars).
Class I canine on right and left side.
Upper midline (mesial to 11) on with face.
Lower midline on with the chin.

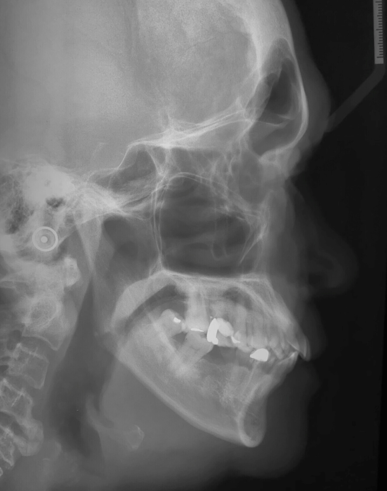
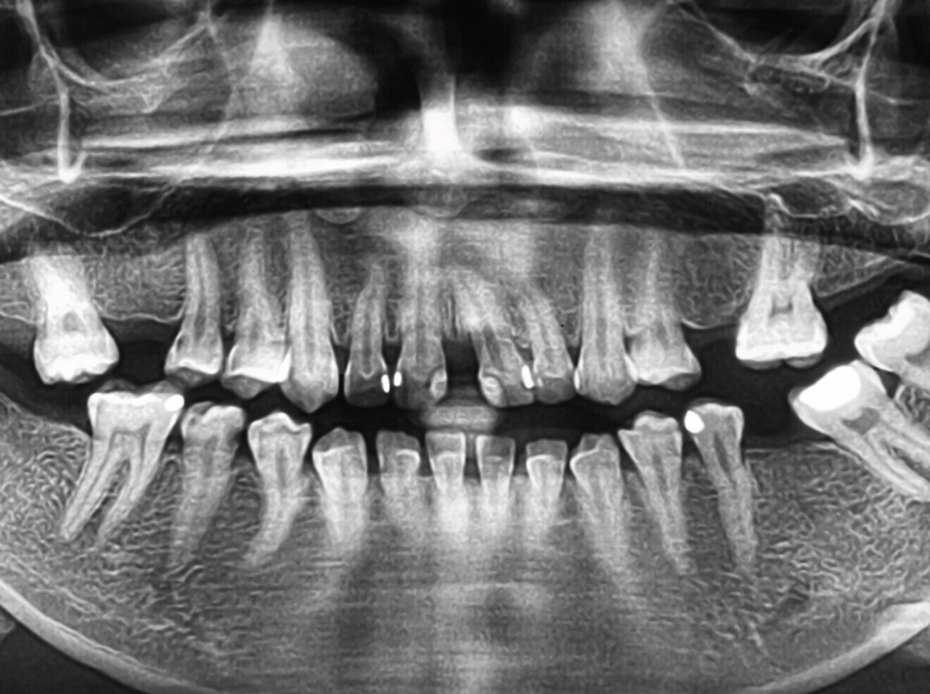
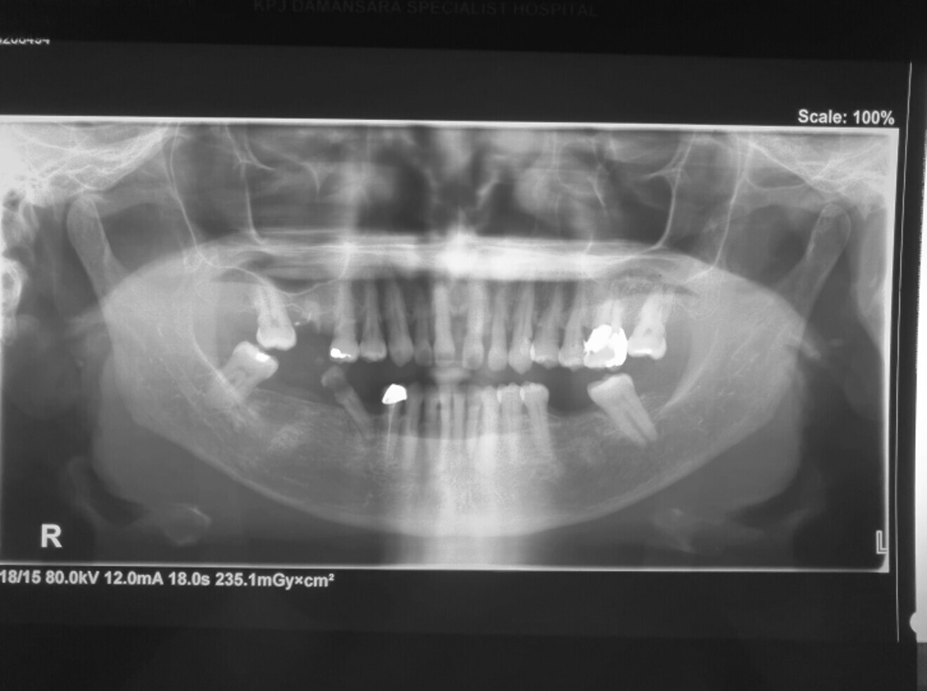
Panoramic radiograph analysis:

Missing 17, 26, 38, 36, 46 and 47.
Retained root 16, 45.
Poor prognosis 26.
Increased vertical bone loss especially 11,21 (only ~30% left)

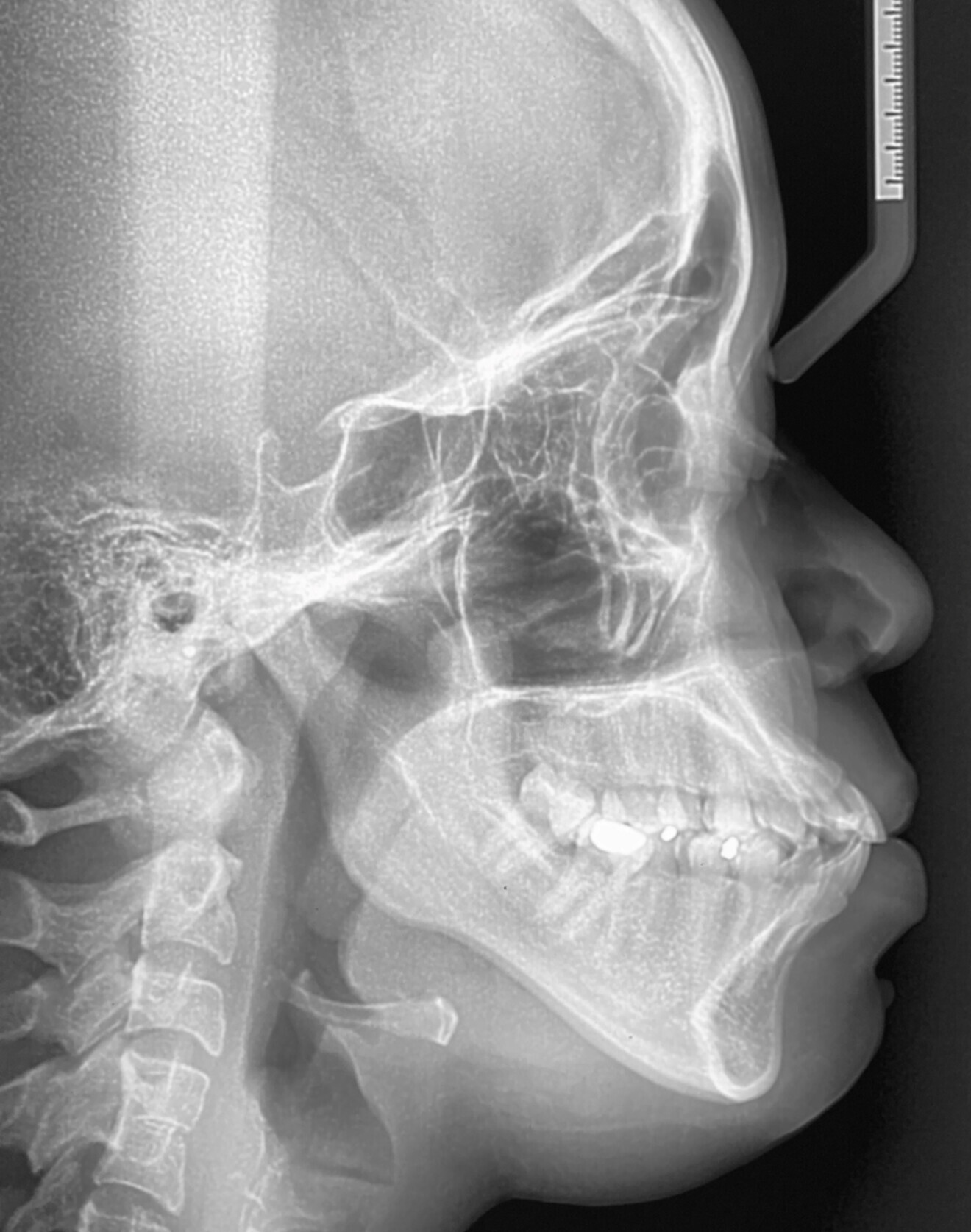
Cephalometric analysis:

Go Me Sn: 42
Saddle: 120
Articular: 144
Gonial: 135
Inner: 399

ANSMe/Nme: 55%
Jarabak Ratio (Sgo/Nme): 58%
Max height: 57
FMA: 30
Normal to high vertical growth pattern
Max height:
SNA: 83
SNB: 79
ANB: 4
Wits: 0mm
McNamara: +2mm
Corpus ratio : 62/72
Max Depth: 94
Holdaway: 7:1
Class II skeletal pattern due to downward rotated mandible.
Long mandibular corpus. Poor pogonion projection
ISN: 112
IMPA: 90
I – I : 113
UI – OP : 50
LI – OP : 65
OP – SN : 18
OP – FH : 15
UI – PP : 122
Increased upper and upright lower incisors.
Normal occlusal plane.

Treatment Plan:

Single arch management (upper only).
Only round wire utilized with maximum cross section at 016.
Closing spaces with closing loops.
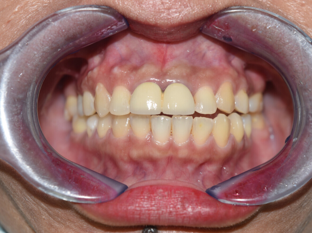
2-unit bridge before debonding.
Essix retainer upper for retention.

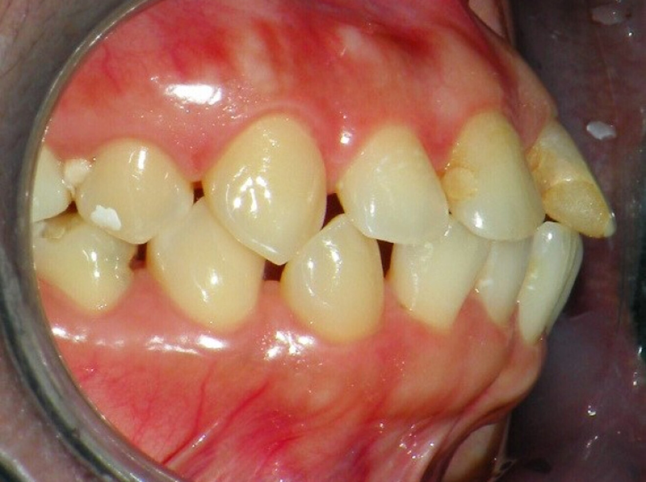
 Fig. 5a: Sliding on 016 stainless steel with pushcoil, 21 and 22 mesialized creating space  between 22 and 23. Both laterals have more vertical bone support to protect and re duce unwanted tipping of centrals during retraction.

Fig. 5a: Sliding on 016 stainless steel with pushcoil, 21 and 22 mesialized creating space between 22 and 23. Both laterals have more vertical bone support to protect and re duce unwanted tipping of centrals during retraction.

 Fig. 5b: Space closed with vertical  closed helix loop 014 stainless steel round wire.

Fig. 5b: Space closed with vertical closed helix loop 014 stainless steel round wire.

 Fig. 5c: Brackets just removed. Before  bridge preparation.

Fig. 5c: Brackets just removed. Before bridge preparation.

Fig. 5d: 2-unit metal fused porcelain bridge incorporated.

Fig. 5d: 2-unit metal fused porcelain bridge incorporated.

Fig. 6: Four years later without additional retention (essix missing)

Fig. 6: Four years later without additional retention (essix missing)

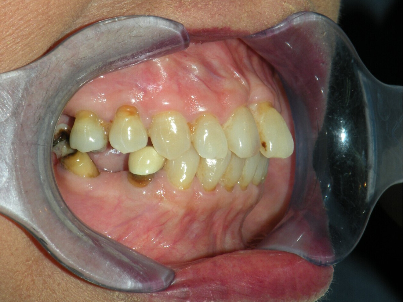
Fig. 7: 26 root left and  27 extracted.

Fig. 7: 26 root left and 27 extracted.

Case 2

• 50-year-old woman
• No underlying medical condition.
• Main complaint: Multiple gaps.

Extra-oral findings:

Symmetrical face
Incompetent lips.
Normal smiling line, upper teeth in harmony with lower lip.
Convex profile.
Nasolabial angle: 90

Intra-oral findings:

Class I malocclusion with poli diastemas in both upper and lower arch.
Overbite= 1mm Overjet = 3mm
No molar classification (absence of molars)
Class I canine on right and left side.
Upper midline (mesial to 11) on with face.
Lower midline on with the chin.

Panoramic radiograph analysis:

Missing 18, 16, 25,26, 28, 36, 47 and 48.
20-30% vertical bone loss upper anterior region.

Cephalometric analysis:

Go Me Sn: 39
Saddle: 119
Articular: 140
Gonial: 140
Inner: 399

ANSMe/Nme: %
Jarabak Ratio (Sgo/Nme): 59 %
Max height: 50
FMA: 29

High vertical growth pattern

SNA: 90
SNB: 95
ANB: -5
Wits: -2mm
McNamara: 2mm
Corpus ratio : 55/59
Max Depth: 100
Holdaway: 6/1

Class II skeletal pattern due to prognathic maxilla and small mandible.

Poor pogonion projection
11
ISN: 128
IMPA: 100
I – I : 93
UI – OP :38
LI – OP : 40
OP – SN : 15
OP – FH : 6
UI – PP : 132
Increased upper and lower incisors.
Flat occlusal plane.

Treatment Plan:

– Upper lower conventional metal MBT brackets.
– Posterior spaces to be maintained for future implants.
– 2-unit bridge before debonding.
– Essix retainer upper lower for retention.

Fig. 12a: Lower arch bonded first to collapse in pursue of overjet and overbite.

Fig. 12a: Lower arch bonded first to collapse in pursue of overjet and overbite.

Fig 12b:  Upper arch bonded once spaces in lower arch managed.

Fig 12b: Upper arch bonded once spaces in lower arch managed.

Fig. 12c: 2-unit porcelain fused  metal bridge prepared.

Fig. 12c: 2-unit porcelain fused metal bridge prepared.

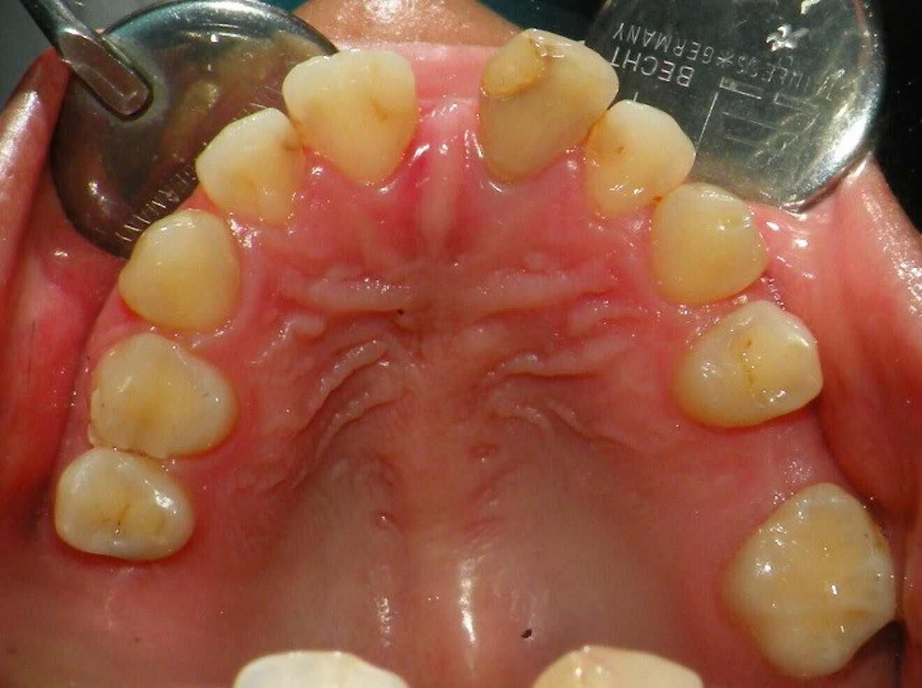
Fig. 13a: Gaps posterior maintained for future implants.

Fig. 13a: Gaps posterior maintained for future implants.

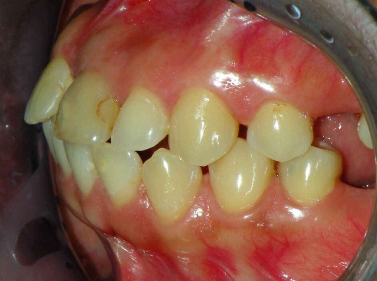
Fig. 13b: 2 years post ortho dontic treatment.

Fig. 13b: 2 years post ortho dontic treatment.

Fig. 13c: 4 years post orthodontic treatment.

Fig. 13c: 4 years post orthodontic treatment.

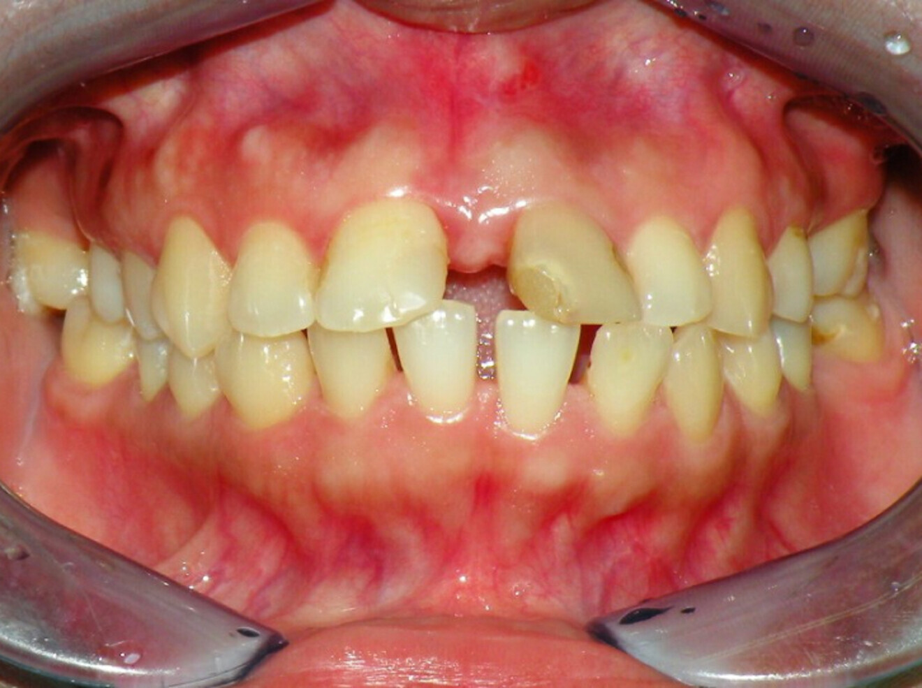
Fig. 13d: 6 years post  orthodontic treatment (Anterior open bite visible)

Fig. 13d: 6 years post orthodontic treatment (Anterior open bite visible)

Screenshot from speech video during 6 years review. Tongue thrusting visible.

Screenshot from speech video during 6 years review. Tongue thrusting visible.

 Fig. 14a: After debond.

Fig. 14a: After debond.

Fig. 14b: 2 years later.

Fig. 14b: 2 years later.

Fig. 14c: 4 years later.

Fig. 14c: 4 years later.

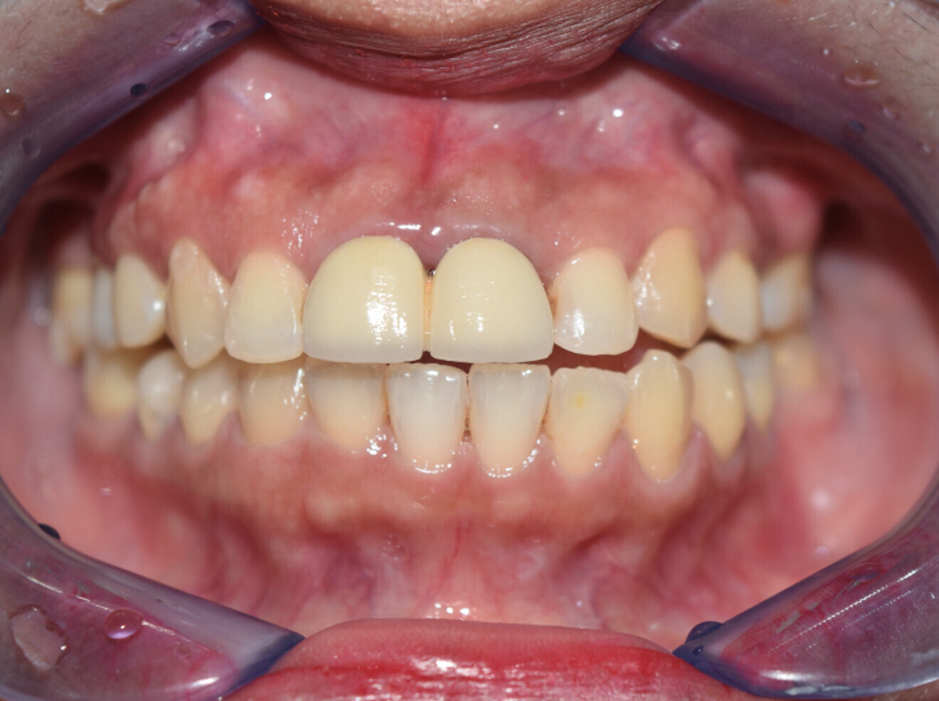
Fig. 14d: 6 years  later.

Fig. 14d: 6 years later.

Discussion

In both cases, 2-unit bridge was prepared immediately after debonding of brackets with Hawley retainer as retention while temporary bridge is in place. After final porcelain fused metal bridge is cemented, Hawley retainer was replaced by essix retainer. Both patients found Hawley retainer intolerable and reminded them of dentures and requested for Essix instead. Additionally, in both cases their essix retainer is no longer worn due to loss of interest by the end of first year post orthodontic treatment.

In case 1, further failure of other remaining teeth occurred over the years due to poor oral hygiene and care. Nevertheless, contact points between upper anteriors from canine to canine remain intact with minimal change to occlusion. However, in case 2, although anteriorly the contact points too remained intact, anterior open bite developed over the years.

Few differences worth mentioning between the two that may indicate reason for non-identical outcome. Although both presented with Class II skeletal pattern, case 1 had a large mandibular length while case 2 had a short mandible. Case 1 had limited diastema present while case 2 had multiple sites including in the lower arch. During speech recorded on video (and displayed through screenshot as shown above), tongue thrusting is visible in case 2. Soft tissues such as the lips, cheeks and tongue affect tooth position and play important roles in dental arch formation and maintenance (Tomes, 1873). Short mandibular length in case 2 may promote towards pseudo macroglossia. Pseudo macroglossia symptoms includes condition in which tongue of normal size but large in relation to adjacent anatomical structures (1). Large and protruding tongue affect the occlusal stability post orthodontic treatment.

Another significant difference would be the single arch approach in case 1. Lower arch was not disturbed and upper arch were moved to accommodate to it. However, in case 2, anterior segment in the lower arch was collapsed to create overjet and overbite. The lower anterior teeth have been shown to be the most prone to relapse with 40-90% rate 10 years post orthodontic treatment (2). Natural changes to the dental arches that occur during aging and maturation are known to contribute to the problem of posttreatment relapse, particularly decreases to arch length and intercanine width. In case 2, intercanine width was reduced during arch collapse with elastomeric powerchain. Retention appears to be better when lower anterior teeth is left alone as presented in case 1.

Both cases shared a similar success in terms of increased longevity of upper central incisors in general. Both were experiencing occlusal trauma prior orthodontic treatment with mobility. Splinting of the central incisors with the 2-unit bridge helped in reducing the load of occlusal trauma. Retention of median diastema closure proved to be successful up till maxillary canines post orthodontic treatment despite of removable retainers’ absence.

Conclusion

An alternative solution to retention in median diastema closure can be considered using a 2-unit dental bridge within the right criteria post orthodontic treatment. Factors to be mindful of includes compromised alveolar support with mobility, median diastema length of 3mm and above and currently heavily restored incisors. The option of selecting the 2-unit dental bridge addresses splinting of the tooth for immobilization, long term retention post orthodontic treatment and preventing the tooth from future fracture with crown coverage.

Topics:
To post a reply please login or register
advertisement
advertisement