Search Dental Tribune

Simplifying sleep and airway health in dentistry: A practical guide for everyday practice

(image: Designed by Freepik)
Dr. Damian Teo, Australia

Dr. Damian Teo, Australia

Wed. 18. September 2024

save

Screening for sleep, airway, and temporomandibular disorders (TMD) is simpler than it seems and crucial for preventing complications, especially in orthodontics or restorative work. This article covers four key signs to help you easily identify issues like bruxism, nasal breathing problems, and jaw deviations in everyday practice.

The concept of sleep, airways and Temporomandibular disorders (TMD) may be intimidating to some dentists, screening and incorporating them into our everyday practice is very simple. We do not have to be experts in the field, nor do we have to have any interest in treating sleep, snoring or TMD.

However, being able to screen and identify signs/symptoms of possible snoring, Obstructive Sleep Apnea (OSA) and bruxism is an important skill, especially if you’re performing orthodontics, aligners, or expensive crown/bridge/implant dentistry (we don’t want your expensive implant to break!)

Below are 4 simple signs/symptoms you can look for in your patients to screen for sleep, airway, bruxism and TMD issues.

Nasal breathing

Is the patient breathing with their mouth open or closed? Humans should ideally breathe through the nose with the mouth closed. The nose is for breathing, the mouth is for eating and talking. I tell all my patients, “if you’re a mouth breather, you’ll have to learn how to eat/talk through your nose”. Many patients with OSA are mouth breathers due to an obstruction somewhere in their airway. For children, nasal breathing is VERY important as it also helps influence proper craniofacial growth and straighten their teeth. More importantly, if a child cannot breathe properly at night, this can lead to serious health issues due to oxygen deprivation (e.g. stunted growth, difficulty concentrating at school, attention deficit hyperactivity disorder).

Mouth range of motion (ROM): 42–52 mm

Measuring how much the jaw can open/close and move sideways and forwards is a simple indicator for any TMJ intra-articular (disc) issues or muscle issues. Our normal ROM should be between 42-52 mm, 8-12 mm laterally and 6-10 mm protrusively. If you note any restriction in jaw movements, potentially the TMJ disc and/or muscles may be need further investigating.

It is best to measure ROM using a Therabite (pictured) as they are designed to incorporate the TMJs synovial rotation and translator movements. However a ruler will also suffice. Finger measurements can also be used but are very arbitrary and highly inaccurate due to difference in finger sizes, and the smallest change in millimetre measurements can make a huge difference.

Throat obstructions: Mallampati Score and Tonsil Grading

Dentists are the gatekeepers of the airway. When we’re looking inside the mouth and doing our dental/perio charting, we’re already looking down the person’s airway. A very simple airway screening tool is checking if the tongue (Mallampati Score) or tonsils (Tonsil Grading) are blocking the throat. Just ask your patient to open wide and stick out their tongue as far as they can, then simply record their Mallampati score and Tonsil Grade.

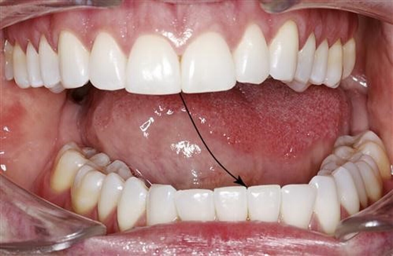
Jaw deviations or deflections

Deviation is when the jaw swings off to one side, then back to the centre. We often see jaw deviation in patients with TMJ clicking. The jaw normally deviates to the same side as the TMJ click (e.g. RHS TMJ click will have RHS jaw deviation).

Deflection is when the jaw swings off to one side, but does not return to the centre. Often the patient will also have limited mouth opening, and may report a history of TMJ clicking that disappeared. Jaw deflection is commonly seen in patients with a closed lock (anterior disc displacement without reduction.)

Similarly to deviation, the jaw deflects to the side where the disc is anteriorly displaced (e.g. RHS deflection means RHS TMJ disc is anteriorly displaced without reduction).

fig. 1a: Deviation. fig. 1b: Deflection

1a

1a

1b

1b

Tags:
To post a reply please login or register
advertisement
advertisement