The digitisation of dentistry has unlocked many potential applications in modern clinical and technical practice. 3D printing is becoming an increasingly popular and effective part of that equation. Gone are the days where it seemed like you needed a PhD to operate a 3D printer. Chairside dental 3D printing has become extremely cost-effective and simple to learn, and there are many dentistry-specific systems known to be highly consistent, accurate, precise and reliable.
Dental technology has allowed us to create excellent provisional restorations, cost-effective dentures, same-day or even same-appointment night guards, and more! However, the beauty of 3D printing is that applications are only limited by your imagination, restrictions in design software and the materials currently available on the market. It gives the clinician and technician the opportunity to let their creativity run rampant, all while improving the patient experience. In this case report, I will share how CAD software and CAM hardware can create a predictable and innovative provisional implant restoration which satisfies not only the patient but also the clinician and dental designer–technician.
Initial situation
“The beauty of 3D printing is that applications are only limited by your imagination.”
A male patient presented in our dental office with a severely broken maxillary right first premolar (tooth #14) that had been designated for extraction a number of years before. The tooth immediately distal (tooth #15) was also in need of substantial dental treatment (Figs. 1 & 2). The patient had hypertension that was controlled with anti-hypertensive medication, but was otherwise medically fit. He intended to have the colour of his anterior teeth improved, but wished to address the issues on his maxillary right side first.
Tooth #14 was deemed unrestorable, and so it was decided to extract the tooth (Figs. 3 & 4), wait for bony healing and replace it with an implant with a provisional restoration. During the healing process, endodontic therapy would be performed on tooth #15. After bony integration, implant #14 would be restored with a screw-retained direct-to-implant zirconia crown, and tooth #15 would also be restored with a complete zirconia crown. A deliberately lighter shade would be chosen, factoring in the patient’s long-term desire to improve the colour of his teeth.
Fig. 2: Pre-op situation, showing the maxillary right first premolar with a poor restorative prognosis.
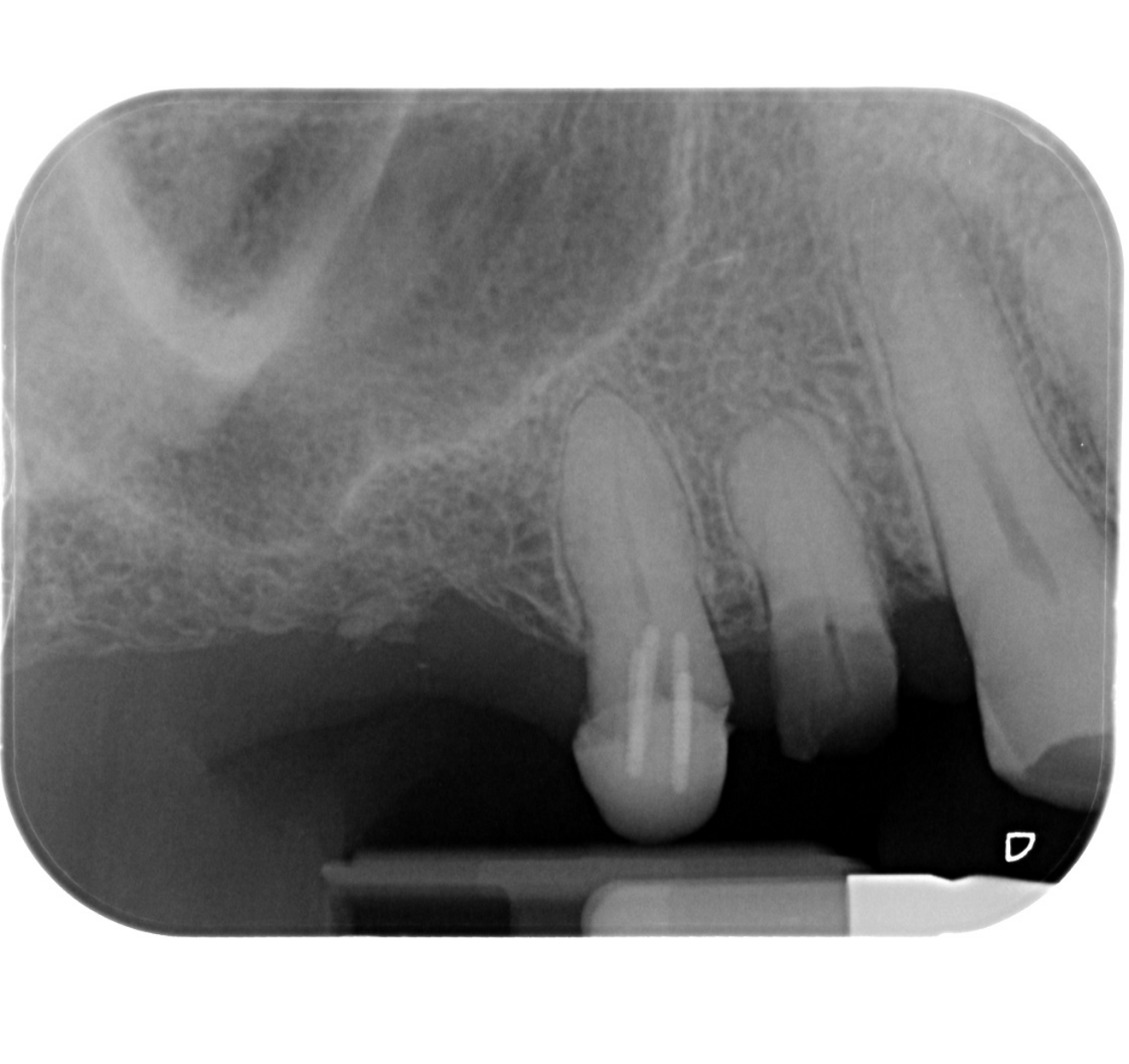
Fig. 3: Initial periapical radiograph.
Fig. 4: Post-extraction site.
Fig. 5: Surgical guide design on 3Shape Implant Studio.
Implant planning
Two months after tooth #14 had been extracted, a CBCT scan (GO, NewTom) and intra-oral scan (Medit i700 wireless) were performed, and the two data sets were merged on 3Shape Implant Studio in order to plan the patient’s case (Fig. 5). The use of surgical guides has been shown to enhance accuracy and precision for many users.1
A tissue-level matrix implant (4.1 × 8.0 mm; TRI Dental Implants) was digitally positioned in order to design the surgical guide, based on parameters already preloaded on the extensive 3Shape Implant Studio library. A pilot guide was designed in this case, as it has been shown to produce similarly accurate results in comparison with fully guided systems.2 The surgical guide was printed out of V-Print SG (VOCO) on the MAX UV (Asiga) in 50 μm layers and was autoclaved after complete processing.
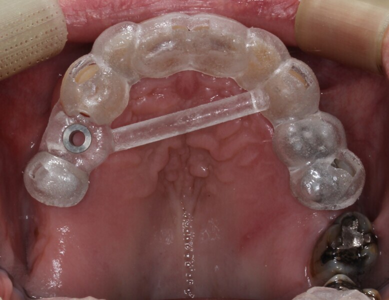
Provisional restoration design
Based on the implant plan, a two-piece provisional restoration was designed using the same software (Figs. 6 & 7). The abutment portion would be printed in a clear splint material (KeySplint Hard, Keystone Industries) and highly polished for optimum transparency. This would allow for visibility of the healing process. To reduce the amount of polishing required, the abutment would be printed in 50 μm layers to diminish the appearance of the layers and using the UltraGLOSS material tray (Asiga; Fig. 8).
Fig. 6: Provisional restoration design on 3Shape Implant Studio.
Fig. 7: Abutment design on 3Shape Implant Studio.
Fig. 8: Printing the temporary abutments out of KeySplint Hard on the MAX UV using the UltraGLOSS material tray.
Fig. 9: Veneer, facial aspect.
Fig. 10: Veneer, fitting surface.
Fig. 11: Veneers nested and supported on Composer 2.0 (Asiga).
A separate facial veneer would be bonded to this abutment and would be printed in a restorative resin (saremco print CROWNTEC, SAREMCO Dental) to satisfy the aesthetic concerns of the patient. Two retentive slots would be incorporated into the abutment and veneer to ensure proper fixation during the bonding process (Figs. 9–11). Prior to final polymerisation in the Otoflash G171 (two 2,000 flashes; NK-Optik), the two pieces would be bonded together using the splint resin as a cementing agent (Figs. 12–14).
Fig. 12: Abutments printed.
Fig. 13: Veneers printed.
Fig. 14: AI3D–Dentiq provisional restorations assembled and fully processed.
Implant placement and provisionalisation
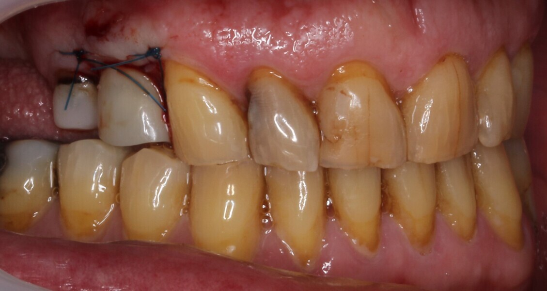
The fit of the surgical guide was confirmed, and the patient was anaesthetised locally (Fig. 15). A small full-thickness flap was raised, and a guided osteotomy was performed. The implant was inserted to a 45 N cm torque. The prefabricated two-piece provisional restoration was torqued in to 15 N cm and was confirmed to be out of occlusion. Two 4-0 PROLENE sutures (Ethicon) were used to close the flap (Figs. 16–19).
Endodontic therapy was commenced on tooth #15 in the meantime. The sutures were removed 14 days later, and the patient reported uneventful postoperative healing at this stage.
Fig. 15: Surgical guide in situ.
Fig. 16: Guided osteotomy.
Fig. 17: Provisional restoration in place after implant placement.
Fig. 18: Post-op situation.
Fig. 19: Post-op situation, occlusal aspect.
Fig. 20: Situation after four months of healing.
Fig. 21: Situation after removal of the provisional restoration.
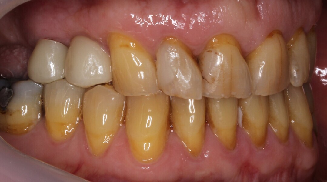
Fig. 22: Zirconia crowns in situ.
Fig. 23: Zirconia crowns in situ, occlusal aspect.
Fig. 24: Final periapical radiograph, showing the good fit and no excess cement.
Figs. 25a–f: Situation at each step of treatment.
Implant and tooth restoration
A waiting period of four months allowed adequate osseointegration of the implant (Fig. 20). The endodontic treatment of tooth #15 had been completed in the meantime, and the tooth had been prepared for a complete zirconia crown. Removal of the implant provisional restoration revealed a natural soft-tissue profile and an improved soft-tissue contour without the need for additional soft- or hard-tissue augmentation (Fig. 21).
Secondary impression was taken digitally with an intra-oral scanner and the relevant scan body. Definitive restorations were designed on exocad and milled in-house on CRAFT 5X (DOF) out of EVEREST Multilayer AT zirconia (Shade A3; UNC International). A deliberately lighter shade was chosen by the patient, as he intended to have the appearance of his other maxillary teeth improved. The implant crown was torqued in to 35 N cm, and the crown was cemented to tooth #15 using G-CEM ONE cement (GC Dental; Figs. 22–24).
Conclusion
Digital dentistry and novel techniques can help produce excellent and effective results. Improvements in the software and physical workflow have meant that the clinician’s and the technician’s work are not only more streamlined and straightforward but also enjoyable (Fig. 25). A more-than-satisfactory outcome was achieved for the patient. What made all this possible was the novel and innovative tissue-level matrix implant connection, which lacks any sharp corners or edges, allowing for direct-to-implant milled and printed restorations. Overall, 3D printing and software can unlock numerous applications to improve not only the patient outcomes but also the operator experience. It will be truly exciting to see the innovations that lie ahead.
Acknowledgements
I would like to acknowledge Jeroen Klijnsma of Dentiq Dental Services for the implant planning and surgical guide design.
In today’s rapidly evolving dental landscape, 3D printing is emerging as a game-changer, transforming the way dental professionals approach patient care. ...
Minimally invasive cosmetic dentistry (MiCD), also known as “do no harm” dentistry, focuses on preserving the natural tooth structure while achieving ...
As a certified dental technician, I have worked in, managed and owned several laboratories around the world. This has exposed me to many different analogue,...
GUANGZHOU, China: From 3 to 6 March, UnionTech, an experienced global leader in stereolithography, made a significant appearance with its new fully ...
SINGAPORE: Gingival tissue grafting is a well-established procedure in periodontal therapy; however, conventional techniques are often associated with ...
Dental health is one aspect of life that significantly influences the quality of life. Children with cancer who have undergone hematopoietic stem cell ...
Oratomic4D is a technology company based in Sydney in Australia specialising in 3D-printing technology and developing and manufacturing biomimetic dental ...
SEOUL, South Korea: Kyung Hee University Dental Hospital has recently signed a business agreement with Osteoid, a developer of 3D medical imaging solutions,...
HONG KONG: Researchers from the University of Hong Kong have developed a personalised 3D-printed mouth guard that they say has plaque removal results ...
Education
Live webinar Tue. 17 February 2026 12:00 pm EST (New York)
To post a reply please login or register